Dental
Care
Experience world-class dental services with advanced technology and a gentle touch. Your smile is our priority.

Top-tier medical standards & hygiene.
With a Personal
Touch
Innovation
technology
We combine advanced dental technology with precision care to deliver exceptional results. Our clinic is equipped with state-of-the-art digital imaging, painless treatment systems, and modern sterilization protocols. We are committed to using the latest technology for safer, smarter, and more effective dental care.

Comfortable
and coziness
At Dr. Malot Dental Clinic, your comfort comes first. Our warm, welcoming space is designed to help you feel relaxed from the moment you arrive. With gentle care, modern technology, and a compassionate team, we ensure every visit is calm and stress-free.
Qualified
staff
Our team of qualified and caring professionals is dedicated to providing the highest quality care and making every patient's visit stress-free as possible.

Schedule Your
Visit Today
Choose your preferred date and time, and our team will get in touch instantly to confirm your appointment.
Appointment Details
Meet the Experts Behind Your Smile
Our team combines years of expertise, advanced training, and a genuine passion for creating beautiful, healthy smiles for every patient.
Book Appointment →
Dr. SARANSH MALOT
Director
- Professor at PDCRC, Udaipur
- BDS,MDS Prosthodontist & Implantologist
- Implant certification AIC Korea
- National speaker for Wan core implants
- Key opinion leader for Veritas

Dr. MITRATA VYAS MALOT
Senior Dentist
- Assistant professor at DDCH, Udaipur
- BDS,MDS Pediatric & Preventive Dentist
- Specialist in kids dental treatment
Dedicated to making every child's dental visit a positive and comfortable experience.
Your Smile,
Our Passion
We deliver comprehensive dental care with a commitment to clinical excellence, patient safety, and professional service standards.
Advanced Safety
We maintain stringent sterilization protocols ensuring a secure environment.
Expertise
Over 15 years of specialized experience in delivering precise dental treatments.
Patient Centric
We prioritize patient comfort and satisfaction, providing personalized care.
Elevating Oral Health with Personalized Services
We believe in the power of a healthy, beautiful smile to enhance your overall well-being. Beyond addressing your immediate dental concerns.
All services →Implant Dentistry
Restore your smile’s function and appearance with durable, natural-looking dental implants tailored to your unique needs.
- • Single & multiple implants
- • Full mouth implant restorations
- • Implant-supported dentures
Kids Dentistry
Creating positive dental experiences for children through gentle care, preventive treatments, and a fun, comforting environment.
- • Pediatric crowns
- • Sealant and flouride treatment
- • Pediatric Space maintainers
Restorative Dentistry
Repair and enhance damaged teeth with advanced restorative treatments designed to improve function, comfort, and aesthetics.
- • Crowns & bridges
- • Tooth-colored fillings
- • Dentures & partials
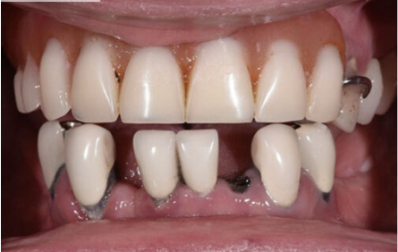
Transformations
Real results from real patients.
AFTER
BEFORETeeth Implant
AFTER
BEFORESmile Makeover
AFTER
BEFOREVeneers
A Journey of Excellence
From humble beginnings to a leader in dental care.
Patients gave
lots of love
Pallavi Singh
Pediatric Dental Care
"I visited Dr. Mitrata Malot's dental clinic for my son's check up. Your gentle approach, patience and ability to make the whole experience comfortable and even fun really stood out. We feel very lucky to have found you. I especially appreciated the way you communicated with my son. You are very humble and kind. The best dentist for the kids!"
Jagdish Salvi
Dental Implants
One of the best dentist who tries to understand your problem and customise the treatment according to your need and budget. I had done implant treatment for my lower teeth and it was near painless procedure. Dr Malot is a good understanding and knowledgeable doctor and very helpful. Thanks for such comfortable environment and making dental procedures easy.
Irfan Sheikh
General Dentistry
Exceptional care and service! Professional staff, clean facility, and painless treatments. Outstanding experience from start to finish. The best dental care I've ever received. Trustworthy, skilled, and friendly team. This clinic sets the bar high for dental care!
Common
Questions
Everything you need to know before your visit.